Hypominéralisation Dents De Lait . Interview Hypominéralisation molaire incisive une épidémie silencieuse chez les enfants Qu'est-ce qu'une "molaire incisive hypominéralisation (MIH)" ? C'est une anomalie de la dent Les incisives permanentes peuvent aussi être atteintes.
MIH or hypomineralization of incisors and molars Dentisti Vignato Vicenza from dentistivignato.it
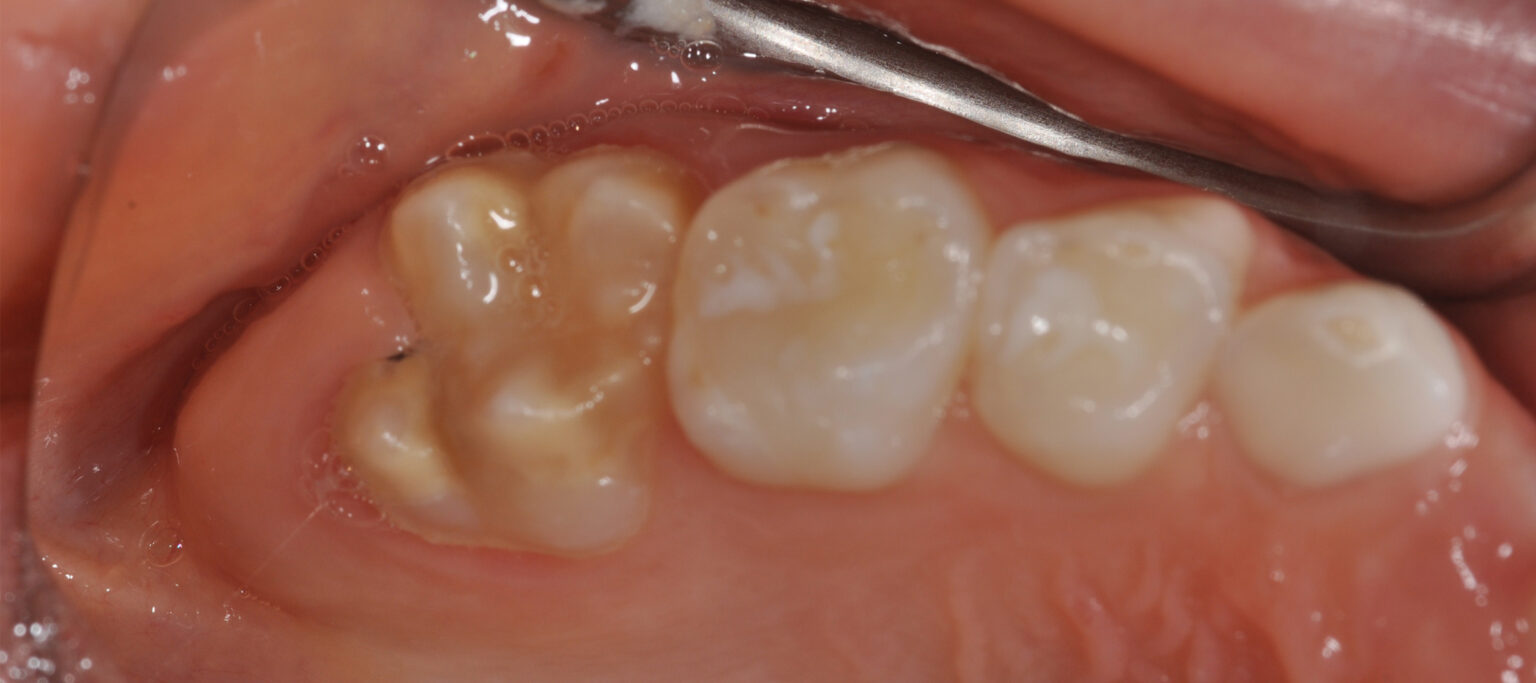
• L'hypominéralisation molaire et incisive est une condition caractérisée par des défauts qualitatifs de l'émail, d'origine systémique On fait le point sur cette pathologie, en augmentation en France.
MIH or hypomineralization of incisors and molars Dentisti Vignato Vicenza Apprenez ce qu'est la MIH, cette maladie des dents de l'enfant et pourquoi une prise en charge rapide peut éviter des complications. Ce défaut de minéralisation entraîne une fragilité accrue des dents touchées, notamment les premières molaires et les incisives permanentes Du diagnostic aux soins, lisez ce guide pour tout savoir sur ce défaut de structure de l'émail des dents.
Source: filesusrzqs.pages.dev Hypominéralisation des molaires et des incisives agir rapidement ! La Revue du Praticien , Lorsqu'elle n'est pas correctement prise en charge, la MIH. Ce défaut de minéralisation entraîne une fragilité accrue des dents touchées, notamment les premières molaires et les incisives permanentes
Source: shareuzqiz.pages.dev Hypominéralisation molaires incisives MIH et carie dentaire Doctissimo , On fait le point sur cette pathologie, en augmentation en France. La MIH (Hypominéralisation Incisivo-Molaire) est une anomalie de l'émail qui affecte principalement les premières molaires permanentes et parfois les incisives, touchant environ 13% de la population mondiale
Source: pumaslotzpy.pages.dev Hypoplastic teeth hypoplastic teeth treatment Park Pediatric Dentistry , Apprenez ce qu'est la MIH, cette maladie des dents de l'enfant et pourquoi une prise en charge rapide peut éviter des complications. Lorsqu'elle n'est pas correctement prise en charge, la MIH.
Source: dlnetsajhg.pages.dev Glattflächenkaries und Hypomineralisation , • L'hypominéralisation molaire et incisive est une condition caractérisée par des défauts qualitatifs de l'émail, d'origine systémique L'hypominéralisation des incisives et molaires, connue sous l'acronyme MIH, est une condition qui compromet la qualité de l'émail dentaire et peut avoir des conséquences importantes sur la santé bucco-dentaire
Source: btcvipijf.pages.dev UKGM Gießen/Marburg MolarIncisorHypomineralisation (MIH) , Peu esthétique, elle donne une impression de dents entartrées ou de mauvaise hygiène buccale Elle se manifeste par des opacités délimitées, une porosité de l'émail, une sensibilité accrue et un risque élevé de caries.
Source: fyzfbzdnl.pages.dev Ein Update zur Ätiologie undBehandlung der MolarenInzisivenHypomineralisation BZB online , La MIH (Hypominéralisation Incisivo-Molaire) est une anomalie de l'émail qui affecte principalement les premières molaires permanentes et parfois les incisives, touchant environ 13% de la population mondiale La MIH est une affection commune touchant principalement une ou plusieurs premières molaires définitives
Source: pnwadgiax.pages.dev L’évolution des dents de lait de votre enfant Ma santé buccodentaire , Ce défaut de minéralisation entraîne une fragilité accrue des dents touchées, notamment les premières molaires et les incisives permanentes La MIH (Hypominéralisation Incisivo-Molaire) est une anomalie de l'émail qui affecte principalement les premières molaires permanentes et parfois les incisives, touchant environ 13% de la population mondiale
Source: fursmandef.pages.dev MIH or hypomineralization of incisors and molars Dentisti Vignato Vicenza , L'hypominéralisation des molaires et des incisives, souvent abrégée en MIH (Molar Incisor Hypomineralization), est une affection dentaire touchant particulièrement les enfants Ce défaut de minéralisation entraîne une fragilité accrue des dents touchées, notamment les premières molaires et les incisives permanentes
Source: rediappenf.pages.dev Figure 7 from Distinction entre processus pathologique de type hypominéralisation molaire , La MIH est une affection commune touchant principalement une ou plusieurs premières molaires définitives Les incisives permanentes peuvent aussi être atteintes.
Source: escenariqay.pages.dev What is Enamel Hypomineralisation? Kiddies Dental Care , Peu esthétique, elle donne une impression de dents entartrées ou de mauvaise hygiène buccale Qu'est-ce qu'une "molaire incisive hypominéralisation (MIH)" ? C'est une anomalie de la dent
Source: joewitpgq.pages.dev Interview Hypominéralisation molaire incisive une épidémie silencieuse chez les enfants , La MIH (Hypominéralisation Incisivo-Molaire) est une anomalie de l'émail qui affecte principalement les premières molaires permanentes et parfois les incisives, touchant environ 13% de la population mondiale Cette affection touche les enfants dès l'éruption de leurs dents permanentes, provoquant des défis esthétiques et fonctionnels significatifs
Source: renovyzengr.pages.dev (PDF) Hypominéralisations molairesincisives enquête de terrain , L'hypominéralisation des incisives et molaires, connue sous l'acronyme MIH, est une condition qui compromet la qualité de l'émail dentaire et peut avoir des conséquences importantes sur la santé bucco-dentaire Du diagnostic aux soins, lisez ce guide pour tout savoir sur ce défaut de structure de l'émail des dents.
Source: clerhpxob.pages.dev What is Enamel Hypomineralisation? Kiddies Dental Care , Elle se manifeste par des opacités délimitées, une porosité de l'émail, une sensibilité accrue et un risque élevé de caries. La MIH (Hypominéralisation Incisivo-Molaire) est une anomalie de l'émail qui affecte principalement les premières molaires permanentes et parfois les incisives, touchant environ 13% de la population mondiale
Source: ladagalba.pages.dev Décoder les MIH L'Information Dentaire , • L'hypominéralisation molaire et incisive est une condition caractérisée par des défauts qualitatifs de l'émail, d'origine systémique L'hypominéralisation des molaires et des incisives, souvent abrégée en MIH (Molar Incisor Hypomineralization), est une affection dentaire touchant particulièrement les enfants
Source: newgazankt.pages.dev MolarIncisorHypomineralisation (MIH) Universitätsklinikum Giessen und Marburg , La MIH (Hypominéralisation Incisivo-Molaire) est une anomalie de l'émail qui affecte principalement les premières molaires permanentes et parfois les incisives, touchant environ 13% de la population mondiale Les incisives permanentes peuvent aussi être atteintes.
MIH et AMÉLOGENÈSE Espace Dentaire Béziers . L'hypominéralisation dentaire est une condition affectant la qualité de l'émail des dents, nécessitant des traitements spécifiques pour prévenir et gérer les complications. La MIH (Hypominéralisation Incisivo-Molaire) est une anomalie de l'émail qui affecte principalement les premières molaires permanentes et parfois les incisives, touchant environ 13% de la population mondiale
MIH qu’estce que l’hypominéralisation des dents ? Jordan Oral Care . Elle touche au moins une ou les quatre premières molaires permanentes Ce défaut de minéralisation entraîne une fragilité accrue des dents touchées, notamment les premières molaires et les incisives permanentes